Périartérite noueuse
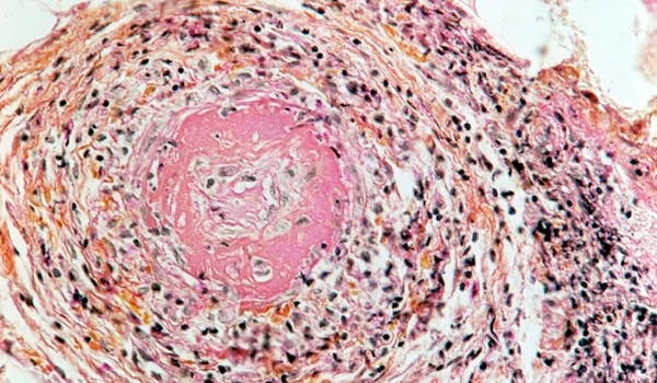
Xavier Puéchal La périartérite noueuse (PAN) est une vascularite nécrosante systémique atteignant préférentiellement les vaisseaux de moyen calibre. Décrite en 1866 par Küssmaul et Maier, elle est parfois la conséquence d’une infection par le virus de l’hépatite B (PAN-VHB). Coïncidant avec l’amélioration des conditions d’hygiène et les campagnes de vaccination contre le VHB, les nouveaux cas de PAN sont devenus très rares. Par contre, sont décrites d’autres formes secondaires de PAN, notam...
En savoir plus
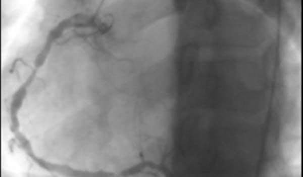
Maladie de Kawasaki
Il s'agit d'une vascularite des artères de gros et moyen calibre, d'étiologie inconnue, qui touche préférentiellement le nourrisson et l'enfant de moins de 5 ans, plus rarement l'adulte. Le syndrome de Kawasaki réalise un syndrome adéno-cutanéo-muqueux fébrile. Sa gravité est liée à l'atteinte cardiaque et au développement d'anévrismes coronaires qui peuvent être à l'origine de mort subite.
En savoir plus
