Artérite à cellules géantes (Horton)
C'est la vascularite la plus fréquente après l'âge de 50 ans. Cette vascularite, particulière par sa topographie, atteint préférentiellement les artères de gros et moyen calibre, principalement du territoire céphalique.
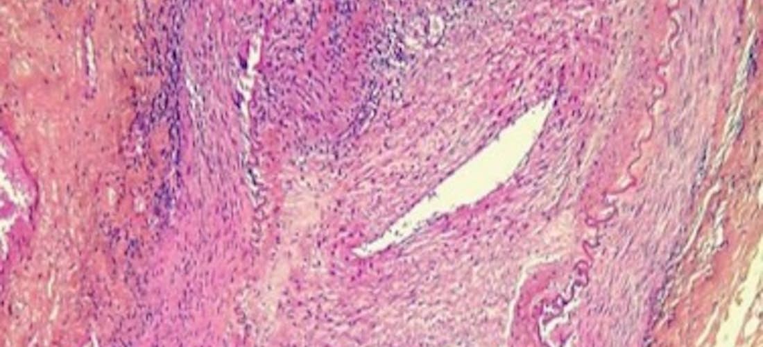
Elle est en fait plus diffuse comme le montrent la clinique et les explorations d‘imagerie. Histologiquement, l'atteinte vasculaire intéresse les trois tuniques, avec un infiltrat inflammatoire essentiellement mononucléé, une destruction du tissu élastique et une réaction histiocytaire à son contact. On observe un épaississement intimal constitué d'une prolifération fibroblastique, et des cellules géantes sont observées au contact de la limitante élastique interne. L'artérite à cellules géantes (maladie de Horton) survient dans la majorité des cas chez les sujets âgés de plus de 50 ans. Sa présentation clinique, très polymorphe, impose de pratiquer, comme pour toute vascularite, une biopsie afin d'en affirmer le diagnostic.
Un Protocole National de Diagnostic et de Soins (PNDS) a été élaboré en 2017 puis révisé en 2024. Ce PNDS explicite aux professionnels concernés la prise en charge diagnostique et thérapeutique optimale et le parcours de soins d’un patient atteint d'artérite à cellules géantes (ACG). Il a été élaboré par la filière de Santé des Maladies Auto-Immunes et Auto-Inflammatoires Rares (FAI²R) à l’aide d’une méthodologie proposée par la HAS. Il n’a pas fait l’objet d’une validation par la HAS qui n’a pas participé à son élaboration.
